Ir al dentista es una experiencia que muchos evitamos. Un diente roto, una posible infección, defectos estéticos y demás se quedan sin arreglo por miedo.
Sí, miedo al dentista.
Pero ¿Y si te dijéramos que hay centros en Almería diseñados para eliminar ese miedo?
En Almería capital, hay un centro al que acuden pacientes incluso desde municipios que están a una hora o más en coche. El motivo es su método de sedación consciente.
Hablamos de Clínica Dental Integral.
Sedación consciente: quítate el miedo y la ansiedad

Una de las barreras que tenemos muchos pacientes es la ansiedad al acudir a la consulta.
La sedación consciente permite estar relajado durante el tratamiento sin perder la consciencia. Se aplica mediante métodos no invasivos, como el óxido nitroso.
El óxido nitroso es totalmente inocuo y también puede utilizarse en niños, lo que lo convierte en una solución tanto para los adultos como para los peques.
Muchos pacientes que antes evitaban el dentista ahora pueden cuidar su salud bucodental de forma tranquila y sin estrés.
Innovación y tratamientos especiales: más que una clínica dental
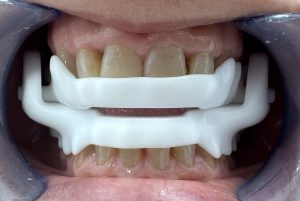
Además, cuentan con tratamientos innovadores como su fórmula antironquidos.
Tratan problemas del sueño como los ronquidos y la apnea mediante dispositivos de avance mandibular personalizados, mejorando la calidad del descanso.

Tienen otros servicios interesantes como:
- Radiología digital y 3D
- Financión hasta 60 meses
- Valoración gratuita
Clínica Dental Integral
Está ubicada en Avenida Mediterráneo 245, Almería.
Una clínica cercana, con más de 75 reseñas en Google Maps y una puntuación media de 5 estrellas, dirigida por la doctora Ana Boquete, referente en su sector.